Cao Răng Đen Là Gì? Cách Xử Lý Cao Răng Đen Hiệu Quả

Cao răng đen là những mảng bám cứng đầu bám chặt trên răng, khiến răng xỉn màu và hơi thở có mùi khó chịu. Lâu ngày, chúng có thể gây viêm nướu, tụt lợi và mất răng. Để loại bỏ cao răng đen an toàn, hãy đến Happy Dental lấy cao răng định kỳ, giúp răng sạch sáng và nụ cười luôn tự tin.

Cao răng đen là gì?

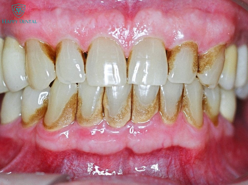
Cao răng đen là những mảng bám cứng đầu bám chặt trên bề mặt răng, có màu nâu sẫm hoặc đen tùy mức độ. Chúng hình thành khi mảng bám mềm tích tụ lâu ngày không được làm sạch và dần bị khoáng hóa bởi muối khoáng trong nước bọt. Theo thời gian, lớp cao răng này không chỉ làm răng đổi màu, khiến nụ cười kém duyên mà còn là môi trường lý tưởng cho vi khuẩn sinh sôi, dẫn đến viêm lợi, hôi miệng và các bệnh lý nha chu khác.

Cao răng đen
Cao răng đen

Nhiều người cho rằng cao răng đen chỉ xuất hiện do vệ sinh răng miệng chưa kỹ, nhưng thực tế, nguyên nhân có thể phức tạp hơn. Ngay cả khi bạn đánh răng đều đặn, nếu không làm sạch sâu hoặc không lấy cao răng định kỳ, các mảng bám vẫn có thể tích tụ và chuyển màu theo thời gian. Vì thế, việc hiểu rõ nguyên nhân và xử lý sớm là bước quan trọng để bảo vệ nụ cười và sức khỏe răng miệng của bạn.

Cao răng đen do đâu?

Cao răng đen không xuất hiện một cách ngẫu nhiên mà là kết quả của nhiều yếu tố kết hợp với nhau, từ thói quen ăn uống, cách vệ sinh răng miệng cho đến tình trạng men răng và tác động của thuốc men. Dưới đây là những nguyên nhân phổ biến khiến cao răng đen hình thành và phát triển theo thời gian.

Sâu răng

Một trong những nguyên nhân thường gặp nhất khiến răng xuất hiện vết đen là do sâu răng. Khi men răng bị vi khuẩn tấn công, các vùng bị tổn thương sẽ chuyển sang màu nâu đậm hoặc xám đen, khiến nhiều người lầm tưởng đó là cao răng. Nếu không phát hiện và điều trị sớm, sâu răng có thể lan rộng, gây đau nhức và phá hủy cấu trúc răng thật.

Cao răng đen
Cao răng đen

Răng có nhiều mảng bám

Khi răng không được vệ sinh kỹ sau mỗi bữa ăn, thức ăn thừa và vi khuẩn dễ tích tụ tạo thành mảng bám. Qua thời gian, mảng bám này bị khoáng hóa, trở nên cứng chắc và bám chặt quanh cổ răng hoặc dưới nướu. Khi kết hợp với màu thực phẩm đậm như cà phê, trà, rượu vang hoặc khói thuốc, các mảng này dần chuyển sang màu đen sẫm – chính là cao răng đen.

Men răng yếu

Men răng đóng vai trò như lớp áo giáp bảo vệ răng khỏi tác động bên ngoài. Tuy nhiên, khi men răng yếu hoặc mỏng bẩm sinh, răng sẽ dễ bị ố màu và bám bẩn hơn. Những người có men răng yếu thường nhận thấy cao răng đen xuất hiện nhanh, đặc biệt ở các vị trí khuất như mặt trong của răng cửa hoặc răng hàm. Ngoài ra, men yếu còn khiến răng dễ bị ê buốt khi ăn đồ nóng, lạnh hoặc chua.

Cao răng đen
Cao răng đen

Sử dụng nhiều thuốc kháng sinh hoặc nhiều flour

Một số loại thuốc, đặc biệt là kháng sinh nhóm tetracycline, có thể khiến răng bị xỉn màu hoặc ngả sang màu nâu xám. Bên cạnh đó, việc sử dụng sản phẩm chứa fluor trong thời gian dài hoặc vượt mức khuyến nghị cũng có thể khiến răng bị đổi màu, tạo điều kiện cho cao răng đen xuất hiện. Tình trạng này thường gặp ở trẻ em hoặc người lớn có thói quen dùng nước súc miệng chứa fluor hằng ngày mà không được bác sĩ chỉ định

Các tác hại tiềm ẩn mà cao răng đen có thể gây ra.

Cao răng đen không chỉ khiến nụ cười kém duyên mà còn là nguyên nhân âm thầm dẫn đến nhiều bệnh lý răng miệng nghiêm trọng. Nếu không được loại bỏ đúng cách, lớp mảng bám này có thể gây ra những hậu quả ảnh hưởng trực tiếp đến sức khỏe răng và nướu.

Nguy cơ tụt nướu, tụt lợi

Khi cao răng đen tích tụ lâu ngày ở sát viền nướu, vi khuẩn có điều kiện xâm nhập và tấn công mô nướu. Sự viêm nhiễm kéo dài khiến nướu dần co lại, để lộ chân răng và làm răng trông dài hơn bình thường. Tình trạng tụt nướu không chỉ làm mất thẩm mỹ mà còn khiến răng trở nên yếu và nhạy cảm, gây ê buốt mỗi khi ăn uống.

Mất răng hàng loạt

Cao răng đen là nơi trú ngụ của vô số vi khuẩn. Khi chúng phát triển mạnh, các mô quanh răng sẽ bị phá hủy, làm răng lung lay và có nguy cơ rụng sớm. Theo chia sẻ từ các bác sĩ tại Happy Dental, nhiều trường hợp mất răng ở người trẻ xuất phát từ việc chủ quan không đi lấy cao răng định kỳ. Một khi cấu trúc nâng đỡ răng đã bị tổn thương, việc phục hồi sẽ trở nên phức tạp và tốn kém hơn rất nhiều.

Cao răng đen
Cao răng đen

Viêm chu nha

Sự xuất hiện của cao răng đen chính là nguyên nhân khiến nướu thường xuyên sưng đỏ, đau nhức hoặc chảy máu khi chải răng. Nếu không được xử lý, tình trạng viêm lợi này có thể tiến triển thành viêm nha chu – căn bệnh nguy hiểm khiến xương ổ răng bị tiêu dần, răng yếu đi và dễ rụng. Ngoài ra, viêm nha chu còn khiến hơi thở có mùi hôi và gây ảnh hưởng đến sức khỏe toàn thân.

Gây ra mùi hôi miệng

Mảng cao răng đen là nơi tích tụ hàng triệu vi khuẩn gây mùi. Chúng phân hủy thức ăn thừa trong khoang miệng, tạo ra hợp chất lưu huỳnh – nguyên nhân chính của tình trạng hơi thở nặng mùi. Việc sử dụng nước súc miệng hay kẹo thơm chỉ có tác dụng che mùi tạm thời, trong khi nguồn gốc của vấn đề vẫn nằm ở lớp cao răng bám chặt trên răng và dưới nướu.

Lấy cao răng đen tại nhà có được không?

Nhiều người thường tìm cách lấy cao răng đen tại nhà bằng mẹo dân gian như dùng chanh, baking soda hoặc muối. Tuy nhiên, các chuyên gia nha khoa Happy Dental khuyến cáo không nên tự thực hiện những phương pháp này. Axit trong chanh hoặc chất mài mòn trong baking soda có thể làm mòn men răng, khiến răng yếu đi và dễ bị ê buốt hơn.

Cao răng đen
Cao răng đen

Thay vì vậy, bạn nên đến nha khoa để được lấy cao răng bằng sóng siêu âm. Phương pháp này giúp tách cao răng ra khỏi bề mặt răng một cách nhẹ nhàng, không đau và không ảnh hưởng đến men răng. Sau khi làm sạch, bác sĩ có thể đánh bóng răng để ngăn mảng bám mới hình thành, giúp răng sáng hơn và hơi thở thơm mát.

Kết luận

Cao răng đen là dấu hiệu cảnh báo sức khỏe răng miệng đang bị tổn thương. Việc chủ động vệ sinh răng đúng cách, hạn chế thực phẩm có màu đậm và thăm khám định kỳ tại nha khoa uy tín VN Happy Dental sẽ giúp bạn phòng tránh tình trạng này hiệu quả. Một hàm răng trắng sáng và hơi thở thơm tho không chỉ mang lại sự tự tin mà còn là nền tảng cho sức khỏe lâu dài. Nếu bạn đang gặp tình trạng cao răng đen, đừng ngần ngại đến Happy Dental để được thăm khám và làm sạch chuyên sâu, giúp nụ cười luôn rạng rỡ mỗi ngày.

 

Nha Khoa Happy Dental – Kiến Tạo Nụ Cười, Lan Tỏa Hạnh Phúc

  • Địa chỉ: Số 70-72 Nguyễn Thiện Thuật, Phường 2, Quận 3, TP.HCM
  • Hotline: 090.31.39.005
  • Giờ hoạt động: Từ 8h00 đến 18h00

Xem thêm bài viết:

phục hình khuôn miệnghttps://happydental.vn/phuc-hinh-khuon-mieng-3-ngay-dung-thu/

răng sứ happy diamondhttps://happydental.vn/rang-su-kim-cuong/

răng sứ kim cươnghttps://happydental.vn/rang-su-kim-cuong/

Nha khoa uy tín HCMhttps://happydental.vn/nha-khoa-uy-tin-hcm/

Nha khoa uy tín Sài Gònhttps://happydental.vn/nha-khoa-uy-tin-hcm/

Nha khoa uy tín VNhttps://happydental.vn/nha-khoa-uy-tin-vn/

Đánh giá

Để lại một bình luận

Email của bạn sẽ không được hiển thị công khai. Các trường bắt buộc được đánh dấu *